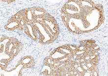
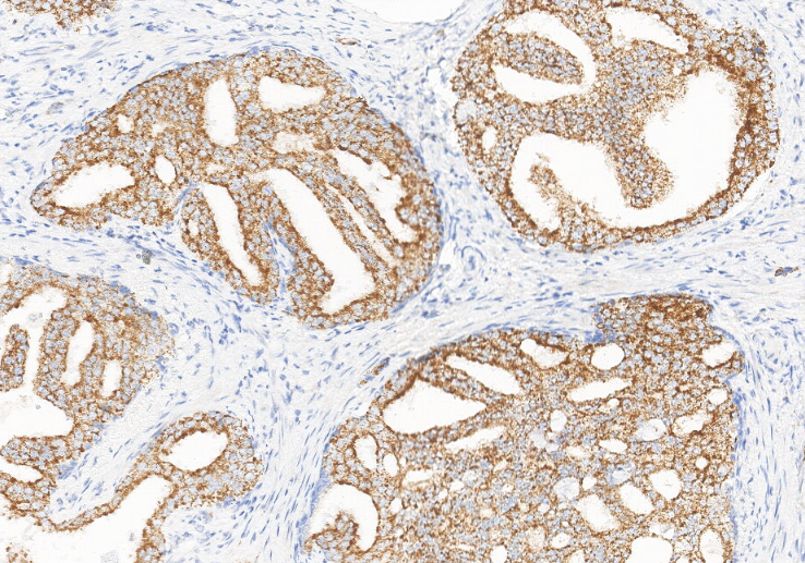
Alpha-Methylacyl-Co A Racémase
Hôte : lapin
Localisation : Cytoplasme
Récupération de l’épitope par EDTA
Introduction :
AMACR est impliqué dans le métabolisme de certains acides gras et codé par un gène spécifique du cancer de la prostate.
Il participe à l'oxydation des acides gras à chaîne ramifiée et est exprimé dans l’adénocarcinome prostatique, la HGPIN et l’hyperplasie adénomateuse atypique, mais pas dans la prostate bénigne.
La détection immunohistochimique, combinée aux marqueurs des cellules basales (34βE12 ou p63), est utile pour diagnostiquer de petites lésions prostatiques dans les biopsies.
Contrôle positif : Tissu de cancer de la prostate
Infos commande :
| RMB1A039 | 0.1ml, 0.5ml, 1ml | Concentré |
| RMB1A039 | 3ml, 6ml, 10ml | Prêt à l'emploi |
![]()

