B-cell lymphoma 2
Hôte : lapin
Localisation : Cytoplasme/Membrane cellulaire
Récupération de l’épitope par EDTA
Introduction :
Bcl-2 est une protéine de la membrane externe mitochondriale, inhibant l’apoptose dans les lymphocytes.
Elle est exprimée dans les cellules en division rapide et en différenciation.
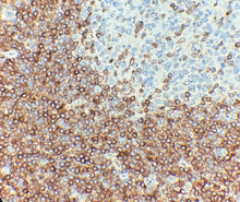
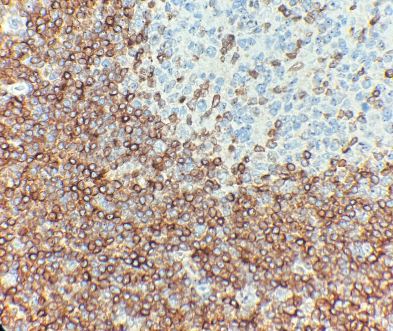
Chez les lymphocytes, Bcl-2 est hautement exprimé dans les T, pré-B et B matures, mais diminué dans les centres germinatifs.
Cet anticorps est utile pour diagnostiquer le lymphome folliculaire : positivité dans les follicules néoplasiques et négativité dans les centres germinatifs réactifs permet de différencier hyperplasie folliculaire réactive et néoplasique.
Il aide également à distinguer sous-types Bcl-2 positifs/négatifs et constitue un biomarqueur potentiel de récidive dans cancer du sein et cancer pulmonaire non à petites cellules.
Contrôle positif : Tissu de tonsille
| RMB1A040 | 0.1ml, 0.5ml, 1ml | Concentré |
| RMB1A040 | 3ml, 6ml, 10ml | Ready to use |

