Bcl-6 (DA005)
Bcl-6 (DA005)
  • Charger l'image dans la galerie, Bcl-6 (DA005)
  • Charger l'image dans la galerie, Bcl-6 (DA005)

Bcl-6 (DA005)

Prix normal
0,00 € HT
Prix réduit
0,00 € HT
Prix normal
Sur demande
Prix unitaire
par 
Frais d'expédition calculés lors du paiement.

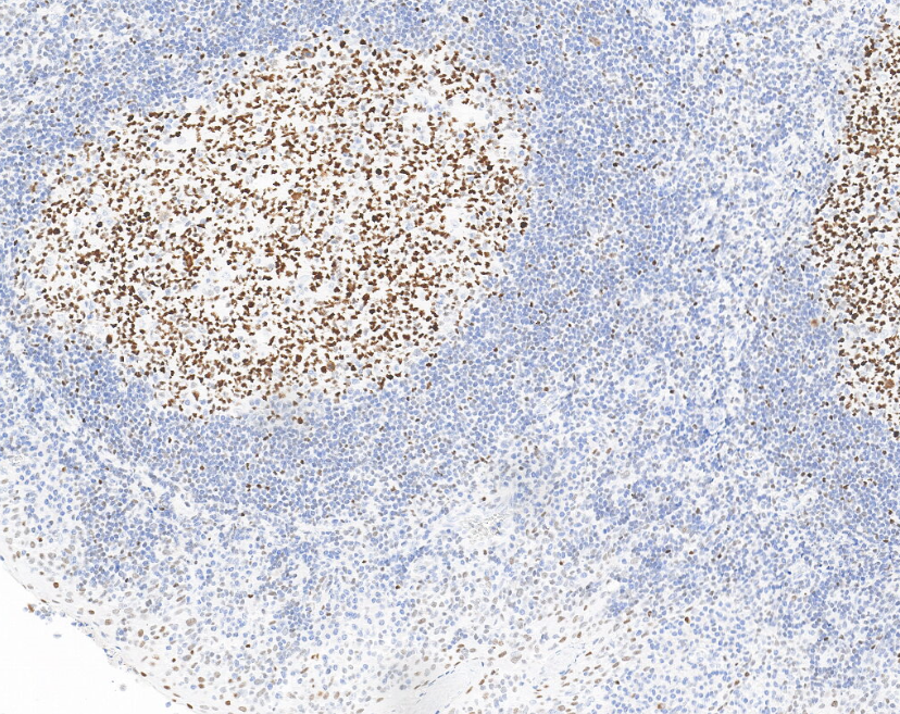
Lymphome B-cellulaire 6

Hôte : Souris
Localisation : Noyau
Récupération de l’épitope par EDTA

Introduction :
Bcl-6, également appelé B-cell lymphoma 6, est une protéine nucléaire à doigts de zinc composée de 706 acides aminés.
Elle est spécifiquement exprimée dans les cellules B du centre germinatif. La protéine Bcl-6 peut se lier à l’ADN, empêchant d’autres facteurs de transcription d’y accéder et inhibant ainsi l’expression de ces gènes. Cette inhibition est essentielle au maintien des fonctions cellulaires normales.
Bcl-6 joue un rôle clé dans plusieurs voies de signalisation cellulaire, en particulier dans le développement et la fonction des lymphocytes B. En régulant des voies telles que PI3K/AKT et NF-κB, elle influence la survie et la prolifération cellulaires.
L’anticorps Bcl-6 est principalement utilisé dans le diagnostic différentiel des lymphomes : il marque les cellules du centre germinatif dans le lymphome folliculaire, le lymphome diffus à grandes cellules B et le lymphome de Burkitt, ainsi que la majorité des cellules de Reed-Sternberg dans le lymphome de Hodgkin nodulaire à prédominance lymphocytaire. En revanche, le lymphome du manteau et le lymphome du MALT montrent une coloration négative avec l’anticorps Bcl-6. En outre, environ 45 % des lymphomes anaplasiques à grandes cellules CD30+ expriment Bcl-6, tandis que les autres lymphomes T périphériques ne l’expriment pas.

Contrôle positif : Tissu amygdalien

RMB1A051 0.1ml, 0.5ml, 1ml Concentré
RMB1A051 3ml, 6ml, 10ml Ready to use