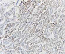
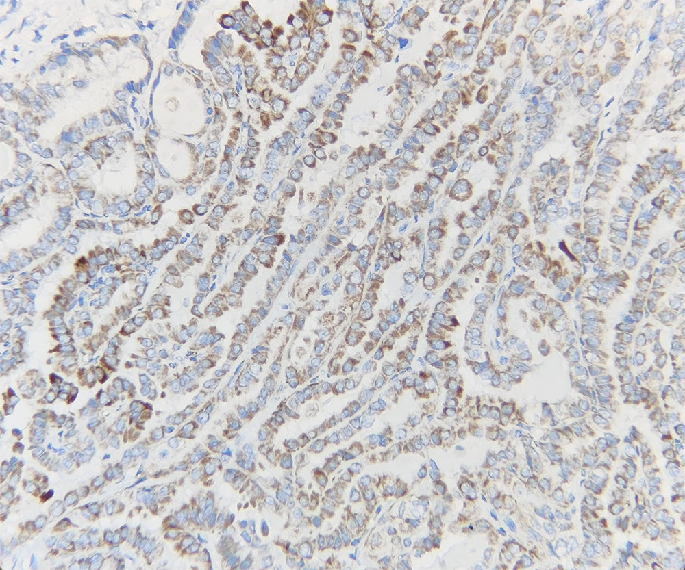
BRAF
Hôte : lapin
Localisation : Cytoplasme
Récupération de l’épitope par EDTA
Introduction :
BRAF code pour la protéine kinase B-Raf, impliquée dans la signalisation cellulaire et la régulation de la croissance.
La mutation V600E est oncogénique et fréquente dans le mélanome, ainsi que dans le lymphome non hodgkinien, le carcinome colorectal, le carcinome papillaire thyroïdien, le cancer pulmonaire non à petites cellules et la leucémie à cellules poilues.
Cet anticorps détecte principalement la mutation V600E, utile pour le diagnostic et la sélection des thérapies ciblées, et fournit une valeur pronostique.
Contrôle positif : Tissu de carcinome thyroïdien
| RMB1A106 | 0.1ml, 0.5ml, 1ml | Concentré |
| RMB1A106 | 3ml, 6ml, 10ml | Ready to use |

