Cluster de différenciation 138
Hôte : souris
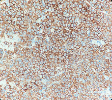
Localisation : Membrane cellulaire
Récupération de l’épitope induite par la chaleur (citrate)
Introduction :
CD138, également connu sous le nom de syndécane-1 ou perlecan-1, est un membre de la famille des protéoglycanes transmembranaires à héparane sulfate. Il est spécifiquement exprimé sur les plasmocytes normaux, les plasmocytes néoplasiques et les lymphomes plasmacytoïdes.
Cette protéine, composée d’un cœur protéique et de cinq glycosaminoglycanes, joue un rôle important dans l’adhésion cellulaire et constitue un outil clé pour le diagnostic de la leucémie lymphoblastique B et de la leucémie lymphoplasmocytaire. Il est à noter que l’expression du CD138 est perdue dans les cellules de myélome en apoptose, ce qui en fait un marqueur discriminant des cellules myélomateuses viables.
Par ailleurs, cet anticorps montre des réactions positives dans plusieurs sous-types de lymphome de Hodgkin, fournissant des éléments importants pour le diagnostic des hémopathies malignes. Il peut être utilisé pour identifier les plasmocytes dans les tissus hématolymphoïdes bénins et néoplasiques, évaluer la différenciation plasmocytaire et quantifier les plasmocytes dans la moelle osseuse et d’autres biopsies tissulaires, y compris les lésions réactionnelles et les dyscrasies plasmocytaires (MGUS).
Contrôle positif : Tissu amygdalien
| RMB1A054 | 3ml, 6ml, 10ml | Ready to use |

