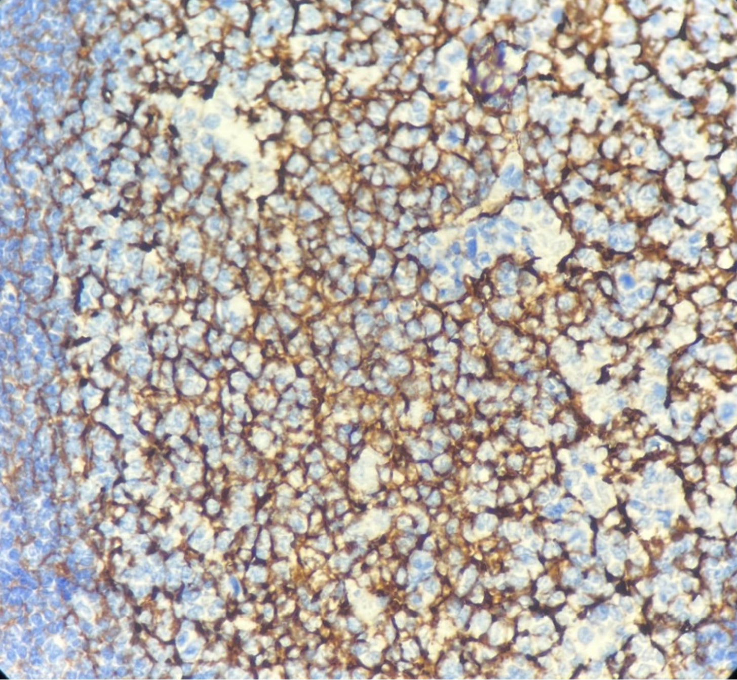
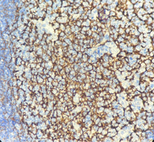
Cluster de différenciation 21
Hôte : lapin
Localisation : Membrane cellulaire
Récupération antigénique : EDTA
Description :
CD21, également connu sous le nom de CR2 (récepteur du complément 3d / récepteur 2 du virus Epstein-Barr), est une glycoprotéine membranaire intégrale de 140 kDa impliquée dans le fonctionnement du système du complément.
Il est spécifiquement exprimé sur les cellules dendritiques folliculaires des ganglions lymphatiques normaux et des amygdales, et n’est pas exprimé sur les lymphocytes T, les monocytes ou les granulocytes.
Cette protéine se lie au fragment C3d du complément. Son récepteur est exprimé à la surface des lymphocytes B, permettant au système du complément de réguler l’activation et la maturation des cellules B.
Le récepteur du complément de type 2 (CR2), en tant que protéine membranaire des lymphocytes B, sert également de récepteur d’entrée au virus Epstein-Barr lors de l’infection des cellules B et permet de marquer les tumeurs ou sarcomes des cellules dendritiques folliculaires.
Contrôle positif : Tissu amygdalien
| RMA1A003 | 0.1ml, 0.5ml, 1ml | Concentré |
| RMA1A003 | 3ml, 6ml, 10ml | Ready to use |

