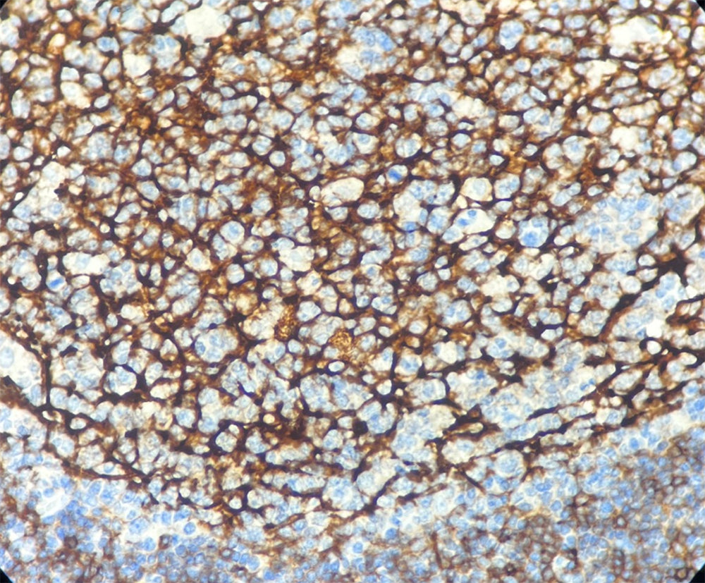
Cluster de différenciation 23
Hôte : lapin
Localisation : Membrane cellulaire
Récupération antigénique : EDTA
Description :
CD23, récepteur de basse affinité des IgE, appartient à la famille des lectines de type C et joue un rôle important dans les réactions allergiques, la défense immunitaire contre les parasites et la régulation des taux d’IgE.
Il est spécifiquement exprimé à la surface des lymphocytes B matures, des macrophages activés, des éosinophiles, des cellules dendritiques folliculaires et des plaquettes.
L’anticorps CD23 est un marqueur important pour l’identification des néoplasies à cellules B : la positivité du CD23 est fréquemment observée dans la leucémie lymphoïde chronique B (LLC-B) et le lymphome lymphocytique à petites cellules (SLL), tandis que le lymphome du manteau et le lymphome à petites cellules clivées sont généralement négatifs.
L’anticorps CD23 reconnaît spécifiquement les antigènes de surface de certaines sous-populations de lymphocytes B du sang périphérique et de lignées lymphoblastoïdes B transformées par le virus EBV, fournissant des éléments clés pour la classification diagnostique des troubles lymphoprolifératifs.
Contrôle positif : Tissu amygdalien
| RMA1A004 | 0.1ml, 0.5ml, 1ml | Concentré |
| RMA1A004 | 3ml, 6ml, 10ml | Ready to use |

