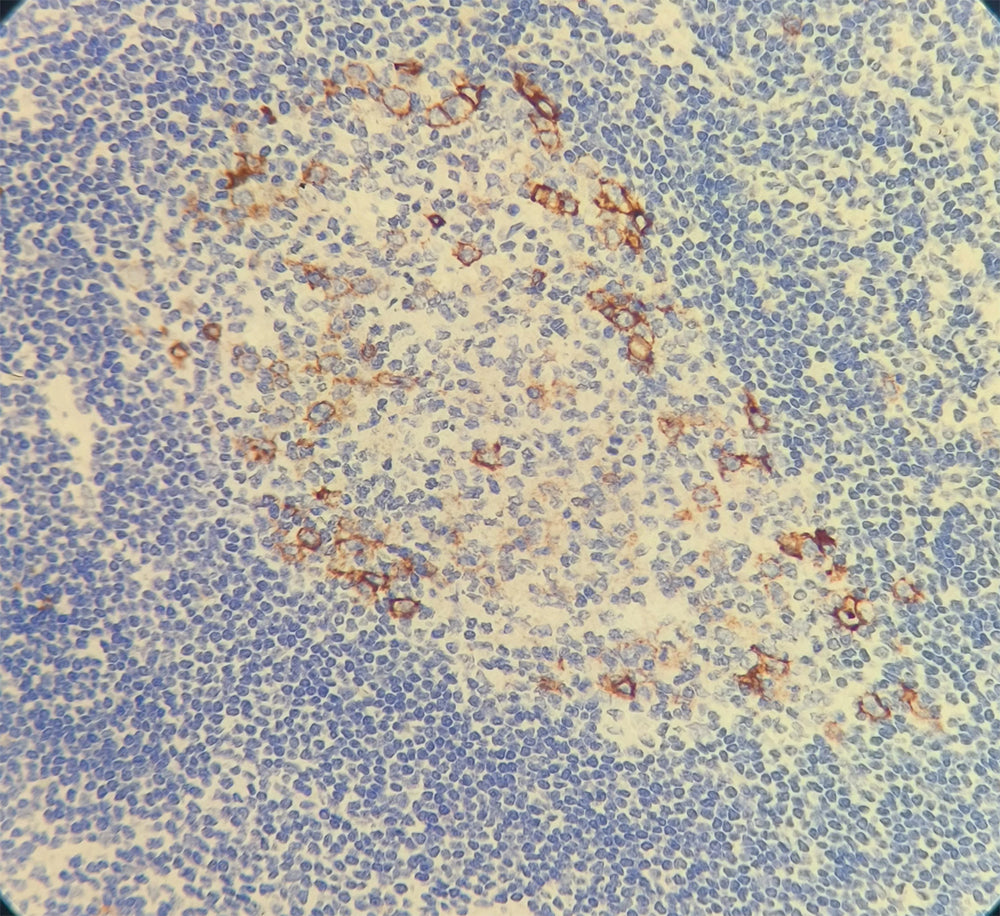
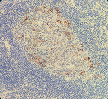
Cluster de différenciation 30
Hôte : souris
Localisation : Cytoplasme / membrane cellulaire
Récupération antigénique : EDTA
Description :
CD30 est un récepteur de cytokines transmembranaire appartenant à la superfamille des récepteurs du facteur de nécrose tumorale (TNF).
Il est spécifiquement exprimé sur les cellules de Reed-Sternberg du lymphome de Hodgkin, le lymphome anaplasique à grandes cellules (ALCL), ainsi que sur le carcinome embryonnaire et le séminome, constituant un marqueur essentiel pour le diagnostic de ces tumeurs malignes.
L’expression aberrante de CD30 est étroitement liée à la pathogenèse de diverses hémopathies malignes, et des thérapies ciblées (telles que le brentuximab védotine) sont actuellement utilisées en pratique clinique.
Contrôle positif : Tissu amygdalien
| MMB1A131 | 3ml, 6ml, 10ml | Ready to use |

