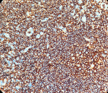
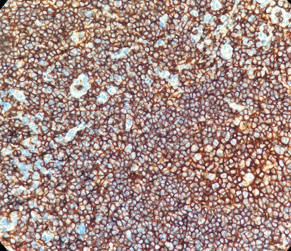
Cluster de différenciation 45
Hôte : lapin
Localisation : Membrane cellulaire
Récupération de l’épitope par EDTA
Introduction :
CD45, également connu sous le nom d’antigène commun leucocytaire, est une protéine transmembranaire de type I largement exprimée dans les cellules du système hématopoïétique.
Il est spécifiquement exprimé dans la majorité des lymphocytes bénins et malins, ainsi que dans les précurseurs des érythrocytes et des plasmocytes. En tant que marqueur de lignée fondamental, CD45 est exprimé dans de nombreuses hémopathies malignes, notamment les lymphomes, la leucémie lymphoïde chronique B, la leucémie à tricholeucocytes et les leucémies aiguës non lymphoïdes.
Il constitue un marqueur essentiel pour différencier les tumeurs d’origine hématopoïétique des tumeurs non hématopoïétiques. Il est recommandé de l’utiliser en association avec d’autres marqueurs afin d’améliorer la précision diagnostique, en particulier dans les cas d’hémopathies malignes CD45 négatives.
Contrôle positif : Tissu amygdalien
| MMB1A096 | 0.1ml, 0.5ml, 1ml | Concentrate |
| MMB1A096 | 3ml, 6ml, 10ml | Ready to use |

