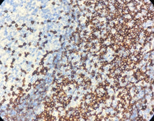
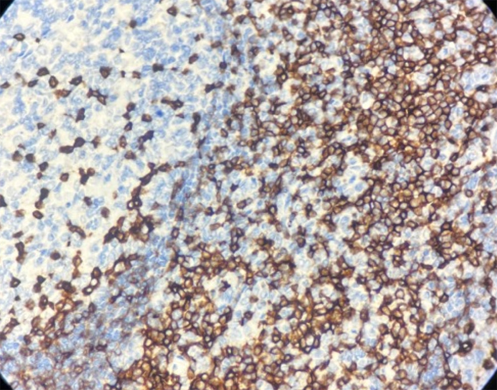
Cluster de différenciation 5
Hôte : lapin
Membrane cellulaire
Récupération de l’épitope par EDTA
Introduction :
CD5 est une glycoprotéine monomérique appartenant à la superfamille des récepteurs scavengers riches en cystéines (SRCR), caractérisée par une structure de type domaine extracellulaire. Sa région cytoplasmique est relativement étendue, ce qui la rend apte à participer à la transduction du signal.
Il est spécifiquement exprimé à la surface de presque tous les lymphocytes T matures ainsi que d’un sous-ensemble de lymphocytes B. Ses principales applications incluent la classification des petits lymphomes à cellules B, le diagnostic et le pronostic des lymphomes T, ainsi que la différenciation du carcinome thymique par rapport à d’autres adénocarcinomes.
Contrôle positif : Tissu amygdalien
| RMF1A059 | 0.1ml, 0.5ml, 1ml | Concentré |
| RMF1A059 | 3ml, 6ml, 10ml | Ready to use |

