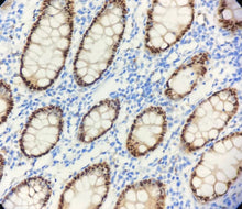
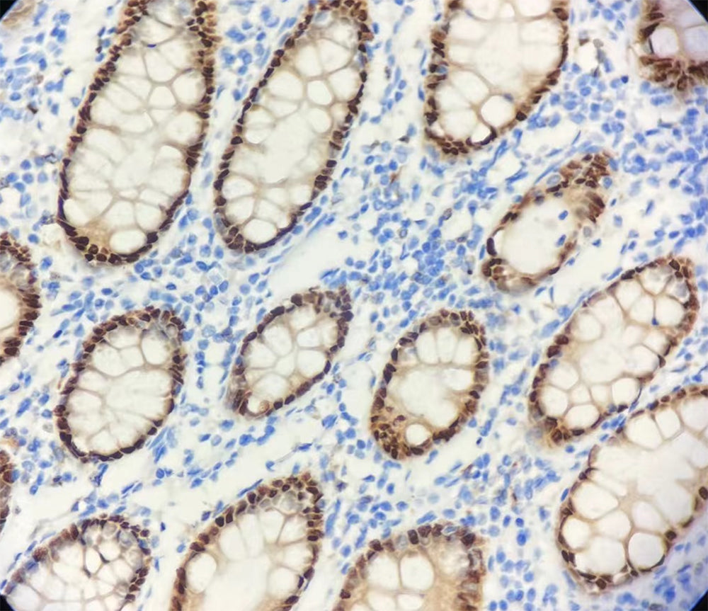
Protéine homeobox caudale de type 2
Hôte : lapin
Localisation : Noyau
Récupération antigénique : EDTA
Description :
CDX2 est un facteur de transcription spécifique de l’intestin appartenant à la famille des gènes homeobox de type caudal. Il est spécifiquement exprimé dans l’appendice et les cellules épithéliales intestinales.
CDX2 est exprimé dans les carcinomes colorectaux primitifs et métastatiques, ainsi que dans la métaplasie intestinale gastrique et les cancers gastriques de type intestinal (mais pas dans la muqueuse gastrique normale).
Des études montrent que la perte d’expression de CDX2 est positivement corrélée au degré de dédifférenciation des carcinomes colorectaux.
L’anticorps CDX2 possède une grande valeur diagnostique pour identifier l’origine digestive des adénocarcinomes et carcinoïdes métastatiques, avec une efficacité diagnostique supérieure à celle du marqueur CK20. Il convient de noter qu’un pourcentage relativement élevé de carcinomes mucineux ovariens et de certaines tumeurs digestives hautes peuvent également exprimer CDX2.
Contrôle positif : Tissu de cancer colorectal
| RMA1A062 | 0.1ml, 0.5ml, 1ml | Concentré |
| RMA1A062 | 3ml, 6ml, 10ml | Ready to use |

