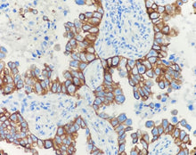
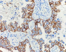
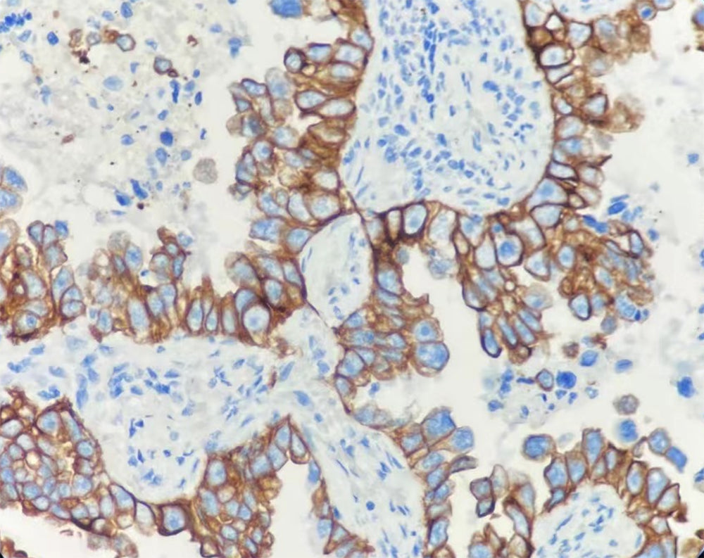
Cytokératine (bas poids moléculaire)
Hôte : souris
Localisation : Cytoplasme
Récupération de l’épitope par EDTA
Introduction :
Les cytokératines LMW sont des protéines du cytosquelette épithélial de bas poids moléculaire (40-58 kDa), comprenant principalement CK8, CK18, CK19 et CK20. Elles sont largement exprimées dans les épithéliums simples (tractus gastro-intestinal, voies biliaires, hépatocytes, épithélium glandulaire) et leurs tumeurs dérivées.
En tant que marqueur de différenciation épithéliale, les anticorps CK LMW sont précieux en pathologie pour différencier les adénocarcinomes (hépatocellulaire, cholangiocarcinome, gastrointestinal) des tumeurs mésenchymateuses. CK19 est un marqueur sensible du cholangiocarcinome (>85% de positivité), tandis que CK20 montre un profil caractéristique dans le carcinome colorectal. Contrairement aux cytokératines HMW (ex. CK5/6), CK LMW n’est pas exprimée dans l’épithélium squameux, ce qui permet de distinguer la différenciation glandulaire de l’épithélium squameux.
Pour l’identification des carcinomes métastatiques, le profil combiné CK7/CK20 (CK7⁺/CK20⁻ pour l’adénocarcinome pulmonaire, CK7⁻/CK20⁺ pour le carcinome colorectal) guide efficacement la détermination du site primaire.
Contrôle positif : Tissu de cancer de la prostate
| MMB1A087 | 3ml, 6ml, 10ml | Ready to use |

