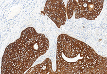
Cytokératine (Pan)
Hôte : lapin
Localisation : Cytoplasme
Récupération de l’épitope par EDTA
Introduction :
CK Pan (pan-cytokératine) est une kératine intermédiaire épithéliale typique, largement exprimée dans la majorité des cellules épithéliales et leurs tumeurs dérivées.
Elle réagit positivement dans presque tous les carcinomes (adénocarcinomes, carcinomes épidermoïdes, carcinomes urothéliaux, etc.) mais pas dans les tumeurs non épithéliales comme les sarcomes, lymphomes et mélanomes.
Elle est donc utilisée pour :
① différencier les carcinomes des tumeurs mésenchymateuses (sarcome/lymphome) ;
② détecter les foyers métastatiques microscopiques dans les ganglions ou organes distants ;
③ aider à déterminer l’origine épithéliale des tumeurs peu différenciées.
Le motif de coloration cytoplasmique est très spécifique, faisant de CK Pan un marqueur fondamental et essentiel en pathologie.
Contrôle positif : Tissu de carcinome épidermoïde pulmonaire
| MMB1A088 | 3ml, 6ml, 10ml | Ready to use |

