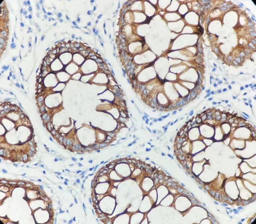
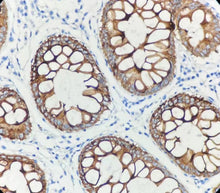
Cytokératine 20
Hôte : lapin
Localisation : Cytoplasme
Récupération de l’épitope par EDTA
Introduction :
CK20 est une kératine de type I, spécifiquement exprimée dans l’épithélium gastro-intestinal, l’urothélium et les cellules de Merkel. Elle sert de marqueur des entérocytes matures et des cellules caliciformes de la muqueuse gastrique et intestinale.
L’anticorps CK20 est généralement positif dans le carcinome colorectal, le carcinome gastrique, l’adénocarcinome pancréatique, les adénocarcinomes des voies biliaires, les tumeurs ovariennes mucineuses, le carcinome urothélial transitionnel et le carcinome des cellules de Merkel. Il est essentiellement négatif dans les carcinomes épidermoïdes, les adénocarcinomes du sein, du poumon et de l’endomètre, les tumeurs ovariennes non mucineuses et le carcinome à petites cellules.
La détection combinée de CK20 et CK7 présente une valeur diagnostique majeure : les différences immunophénotypiques entre le carcinome colorectal (CK20⁺/CK7⁻) et les carcinomes ovarien/pulmonaire/mammaire (CK20⁻/CK7⁺) constituent une preuve fiable pour déterminer le site primaire des carcinomes métastatiques.
Contrôle positif : Tissu colique
| RMA1A013 | 0.1ml, 0.5ml, 1ml | Concentré |
| RMA1A013 | 3ml, 6ml, 10ml | Ready to use |

