Cycline D1
Hôte : lapin
Localisation : Noyau
Récupération antigénique : EDTA
Description :
La cycline D1 est une protéine clé de régulation de la transition G1/S du cycle cellulaire, favorisant la progression du cycle par liaison aux CDK4/6. Sa surexpression anormale est étroitement associée au développement de diverses tumeurs, notamment le lymphome du manteau, le cancer du sein et les carcinomes épidermoïdes de la tête et du cou.
Elle est largement exprimée dans les tissus humains normaux, en particulier dans les cellules en phase G1 du cycle cellulaire.
L’anticorps anti-cycline D1 présente plusieurs applications diagnostiques :
① marqueur de référence du lymphome du manteau (positivité nucléaire >95 %), permettant de le distinguer efficacement des autres lymphomes B ;
② évaluation pronostique dans le cancer du sein (la positivité suggère l’activation de la voie hormonale) ;
③ aide au diagnostic de l’adénome parathyroïdien (associé au réarrangement du gène CCND1).
Le marquage nucléaire positif (notamment lié à la translocation t(11;14)) constitue une preuve importante pour la recherche sur les mécanismes moléculaires tumoraux et les thérapies ciblées (telles que les inhibiteurs de CDK4/6).
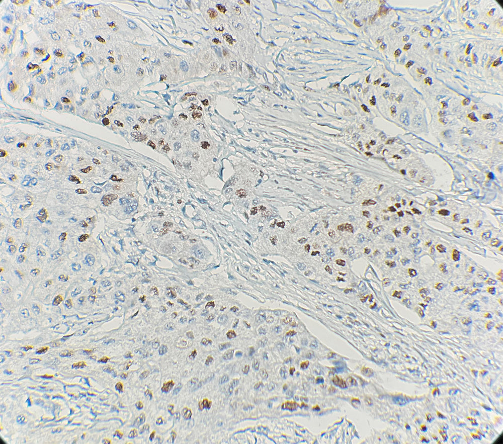
Contrôle positif : Tissu de cancer du sein
| DMRDB142 | 0.1ml, 0.5ml, 1ml | Concentré |
| DMRDB142 | 3ml, 6ml, 10ml | Ready to use |

