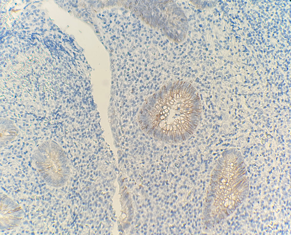
Discovered On GIST-1
Hôte : lapin
Localisation : Cytoplasme / membrane cellulaire
Récupération antigénique : EDTA
Description :
DOG-1 (Discovered On GIST-1) est une protéine de surface cellulaire dont la fonction exacte reste inconnue.
Elle est spécifiquement exprimée dans les cellules interstitielles de Cajal du tube digestif, les hépatocytes, les cellules acineuses des glandes salivaires, les cellules épithéliales prostatiques et les cellules centro-acineuses du pancréas, entre autres.
DOG-1 est fortement exprimée à la surface des tumeurs stromales gastro-intestinales (GIST) et rarement dans d’autres tumeurs des tissus mous. Dans les GIST avec mutation de c-Kit, l’anticorps DOG1 détecte environ 11 % de cas positifs supplémentaires par rapport à l’anticorps c-Kit.
Il permet également d’identifier la majorité des GIST c-Kit négatives ainsi que les GIST mutées PDGFRA, dont les patients peuvent bénéficier d’un traitement par imatinib.
Comparé à c-Kit, DOG1 présente une positivité plus faible dans les tumeurs mésenchymateuses, épithéliales et les mélanomes. Grâce à sa haute sensibilité et spécificité, DOG1 améliore significativement la précision diagnostique des GIST.
Contrôle positif : Tissu appendiculaire
| RMA1A017 | 3ml, 6ml, 10ml | Ready to use |

