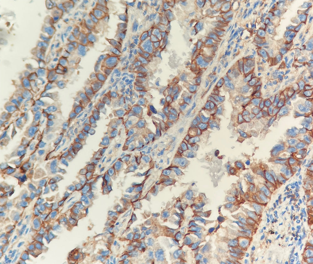
Cadherine épithéliale
Hôte : lapin
Localisation : Membrane cellulaire
Récupération antigénique : EDTA
Description :
L’E-cadherine est une protéine transmembranaire jouant un rôle fondamental dans la formation des tissus par la médiation de l’adhésion intercellulaire.
Elle est spécifiquement exprimée dans les cellules d’origine épithéliale.
L’E-cadherine est positivement exprimée dans les épithéliums glandulaires et dans les adénocarcinomes pulmonaires, gastro-intestinaux et ovariens. Ce marqueur est utilisé pour différencier les adénocarcinomes des mésothéliomes et est également positif dans certains carcinomes thyroïdiens.
Il est particulièrement utile pour distinguer le carcinome mammaire de type canalaire (E-cadherine positive) du carcinome lobulaire (E-cadherine négative).
La perte d’expression de l’E-cadherine est étroitement associée à la progression tumorale et à la formation de métastases : sa diminution affaiblit l’adhésion cellulaire et augmente la mobilité des cellules tumorales, facilitant l’invasion des tissus adjacents. Des études montrent que la perte d’E-cadherine est un indicateur important de mauvais pronostic dans le cancer du sein et le cancer du poumon non à petites cellules.
Contrôle positif : Tissu de cancer du sein
| RMB1A018 | 3ml, 6ml, 10ml | Ready to use |

