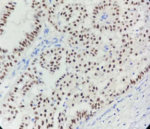
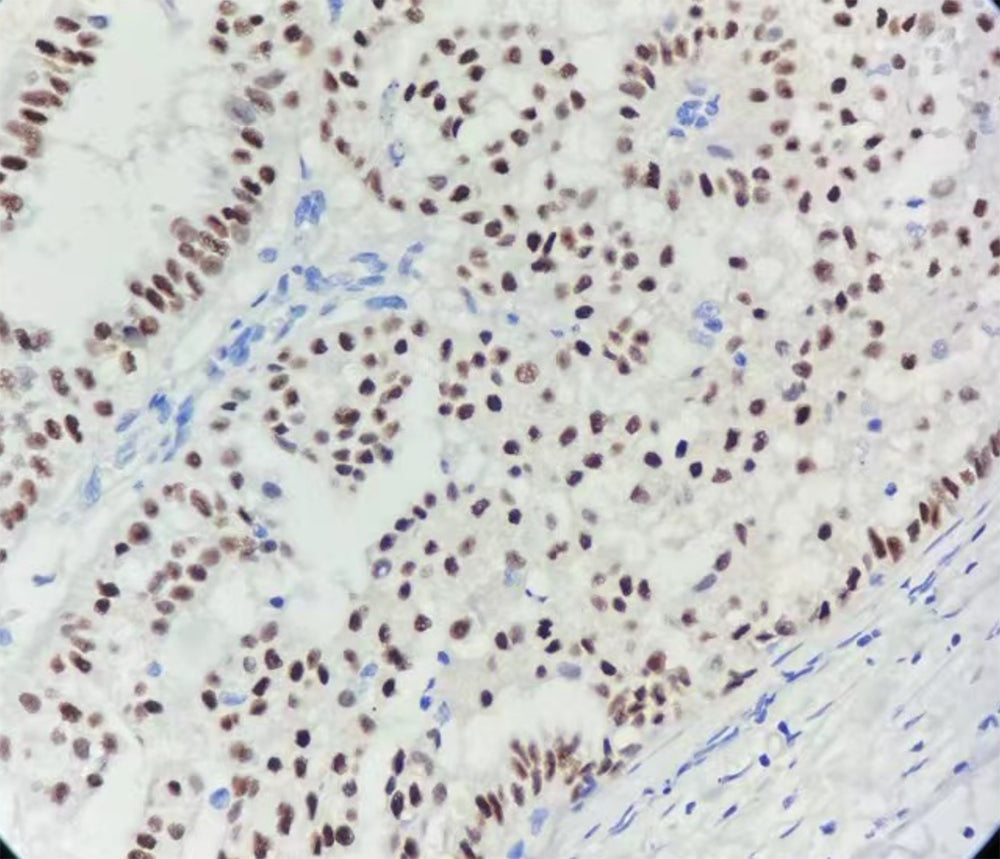
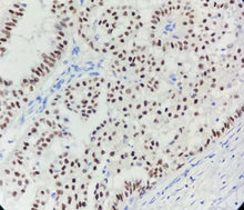
Récepteur aux œstrogènes
Hôte : lapin
Localisation : Noyau
Récupération de l’épitope par EDTA
Introduction :
ER est un récepteur nucléaire se liant aux œstrogènes, notamment à l’estradiol. Il est exprimé spécifiquement dans l’appareil reproducteur féminin et l’épithélium mammaire.
Son principal intérêt diagnostique : différencier les adénocarcinomes mammaires et gynécologiques des adénocarcinomes d’autres organes et évaluer la sensibilité à l’hormonothérapie. Un taux de positivité élevé dans la tumeur indique une meilleure réponse aux traitements endocriniens et un pronostic favorable.
Contrôle positif : Tissu de cancer du sein
Informations commande :
| DMRD0191 | 0.1ml, 0.5ml, 1ml | Concentré |
| DMRD0191 | 3ml, 6ml, 10ml | Ready to use |

