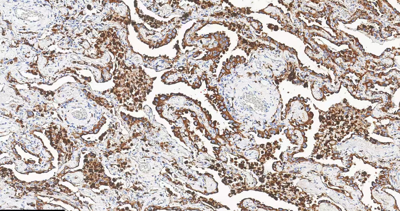
Napsin A
Hôte : lapin
Localisation : Cytoplasme
Récupération de l’épitope par EDTA
Introduction :
Napsin est une protéase aspartique de type pepsine, avec deux isoformes étroitement liées : Napsin A et B.
Napsin A est une protéine monocaténaire, fortement exprimée dans le poumon et le rein, faiblement dans la rate.
Elle participe au traitement de la proSP-B (protéine surfactante pulmonaire B).
Dans les tissus normaux, elle est exprimée dans les pneumocytes de type II et les tubules proximaux rénaux.
Napsin A est un marqueur utile pour l’adénocarcinome pulmonaire.
Contrôle positif : Tissu d’adénocarcinome pulmonaire
| RMB1A022 | 0.1ml, 0.5ml, 1ml | Concentré |
| RMB1A022 | 3ml, 6ml, 10ml | Ready to use |

