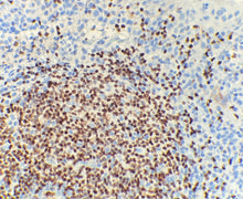
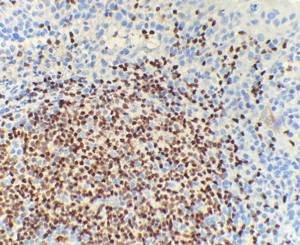
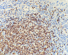
Paired Box Gene 5
Hôte : lapin
Localisation : Noyau
Récupération antigénique : EDTA
Description :
PAX-5 est une protéine activatrice de la lignée B jouant un rôle crucial dans les stades précoces de la différenciation des lymphocytes B, mais pas dans les stades tardifs, ainsi que dans le développement du système nerveux central et des testicules.
Il est spécifiquement exprimé dans les cellules pro-B, pré-B et les lymphocytes B matures.
L’anticorps PAX-5 est d’une grande utilité diagnostique pour l’identification des cellules B et des tumeurs dérivées : il est positif dans le lymphome de Hodgkin classique et le lymphome hodgkinien nodulaire à prédominance lymphocytaire, mais négatif dans le myélome multiple et le plasmocytome solitaire.
Sa forte corrélation avec l’expression de CD20 et son absence de marquage dans les tumeurs T en font un marqueur fiable pour la classification précise des néoplasies du système lympho-hématopoïétique.
Contrôle positif : Tissu amygdalien
Informations commande :
| RMB1A093 | 0.1ml, 0.5ml, 1ml | Concentré |
| RMB1A093 | 3ml, 6ml, 10ml | Ready to use |

