Paired Box Gene 8
Hôte : souris
Localisation : Noyau
Récupération de l’épitope par EDTA
Introduction :
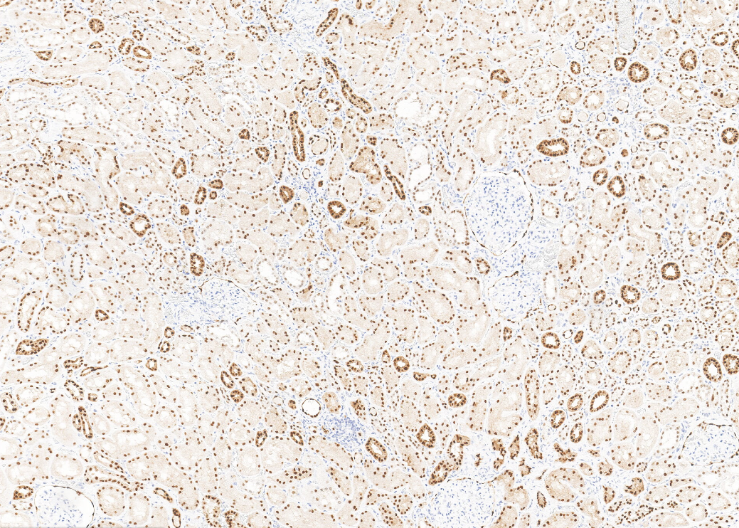
PAX-8 est un facteur de transcription nucléaire exprimé dans la thyroïde, les cellules muqueuses non ciliées des trompes et les kystes inclusions ovariennes simples (épithélium ovarien normal négatif).
Il est fortement exprimé dans le carcinome séreux, endométrioïde et à cellules claires de l’ovaire, ainsi que dans le rein et les tumeurs rénales.
Il n’est pas exprimé dans les tumeurs non gynécologiques (poumon, sein), ce qui en fait un marqueur utile pour déterminer l’origine des carcinomes ovariens primaires ou métastatiques.
Contrôle positif : Tissu de carcinome rénal à cellules claires
Informations commande :
| RMB1A110 | 0.1ml, 0.5ml, 1ml | Concentré |
| RMB1A110 | 3ml, 6ml, 10ml | Prêt à l'emploi |

