CALD1 (DA009)
CALD1 (DA009)
  • Charger l'image dans la galerie, CALD1 (DA009)
  • Charger l'image dans la galerie, CALD1 (DA009)

CALD1 (DA009)

Prix normal
0,00 € HT
Prix réduit
0,00 € HT
Prix normal
Sur demande
Prix unitaire
par 
Frais d'expédition calculés lors du paiement.

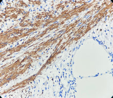
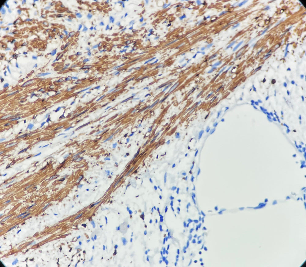
Caldesmon

Hôte : souris
Localisation : Cytoplasme
Récupération de l’épitope par EDTA

Introduction :
CALD1, également appelé caldesmon ou protéine de liaison à la calmoduline, inhibe de façon persistante l’activité ATPase de la myosine dans le muscle lisse et joue un rôle clé dans la régulation de la contraction des cellules musculaires lisses et non musculaires.
Il est spécifiquement exprimé dans le muscle lisse des organes viscéraux et des vaisseaux sanguins, ainsi que dans les cellules myoépithéliales. Il marque spécifiquement les tissus musculaires lisses ainsi que les tumeurs présentant une différenciation musculaire lisse, myofibroblastique ou myoépithéliale.
En pratique clinique, il peut être utilisé pour distinguer les tumeurs myogéniques des tumeurs myofibroblastiques, et en association avec CD10 pour différencier les tumeurs stromales endométriales des léiomyomes.

Contrôle positif : Tissu œsophagien

MMB1A112 3ml, 6ml, 10ml Ready to use