Cluster de différenciation 10
Hôte : souris
Localisation : Cytoplasme / membrane cellulaire
Récupération de l’épitope par EDTA
Introduction :
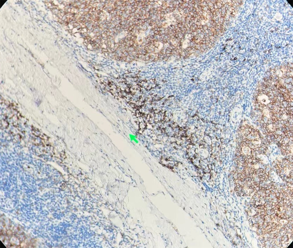
CD10 est une glycoprotéine de surface cellulaire à chaîne unique, également connue sous le nom d’antigène commun de la leucémie lymphoblastique aiguë (CALLA), de néprilysine ou d’endopeptidase neutre. Elle est spécifiquement exprimée sur les lymphocytes B immatures, certains lymphocytes T immatures, les granulocytes matures, les cellules des centres germinatifs, entre autres.
L’anticorps CD10 constitue un marqueur diagnostique important pour la leucémie lymphoblastique aiguë de l’enfant et les lymphomes à cellules B (y compris les lymphomes lymphoblastiques, de Burkitt et folliculaires).
Il marque également les cellules épithéliales glomérulaires et la bordure en brosse des tubules proximaux rénaux, ce qui lui confère une valeur d’application dans la recherche sur le développement rénal. En outre, CD10 est exprimé dans des tissus non lymphoïdes tels que les cellules myoépithéliales mammaires, les canalicules biliaires et les neutrophiles, apportant des éléments essentiels au diagnostic différentiel des hémopathies malignes et des tumeurs solides.
Contrôle positif : Tissu amygdalien
| RMA1A002 | 0.1ml, 0.5ml, 1ml | Concentré |
| RMA1A002 | 3ml, 6ml, 10ml | Ready to use |

