CD3 (DA024)
CD3 (DA024)
  • Charger l'image dans la galerie, CD3 (DA024)
  • Charger l'image dans la galerie, CD3 (DA024)

CD3 (DA024)

Prix normal
0,00 € HT
Prix réduit
0,00 € HT
Prix normal
Sur demande
Prix unitaire
par 
Frais d'expédition calculés lors du paiement.

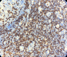
Cluster de différenciation 3

Hôte : lapin
Cytoplasme / membrane cellulaire
Récupération de l’épitope par EDTA

Introduction :
CD3 est un complexe protéique composé de trois chaînes polypeptidiques : CD3γ, CD3δ et CD3ε. Associé au récepteur des lymphocytes T (TCR) et à la chaîne ζ, il forme le complexe TCR, responsable de la transmission des signaux d’activation dans les lymphocytes T.
Il est spécifiquement exprimé à la surface de tous les lymphocytes T. L’anticorps anti-CD3, en tant que marqueur pan-T le plus fiable, reconnaît les antigènes de surface des thymocytes précoces. Sa positivité indique l’engagement des cellules dans la lignée des lymphocytes T.
Ce complexe joue un rôle crucial dans les immunothérapies des lymphocytes T (telles que la technologie CAR-T), et la détection de son expression est d’une grande valeur pour le diagnostic des tumeurs T et l’évaluation du statut immunitaire.

Contrôle positif : Tissu amygdalien

RMA1A005 0.1ml, 0.5ml, 1ml Concentrate
RMA1A005 3ml, 6ml, 10ml Ready to use