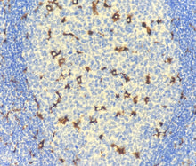
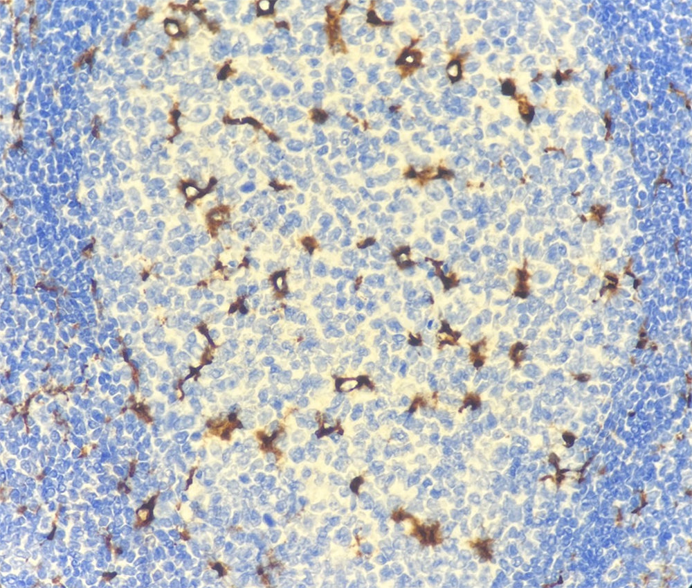
Cluster de différenciation 68
Hôte : souris
Localisation : Cytoplasme
Récupération antigénique : EDTA
Description :
CD68 est une protéine transmembranaire hautement glycosylée, spécifiquement exprimée sur les macrophages tissulaires, les cellules de Langerhans et, à faible niveau, sur certaines cellules dendritiques.
Cette protéine joue un rôle important dans la fonction phagocytaire des macrophages tissulaires, participant au métabolisme lysosomal intracellulaire ainsi qu’aux interactions intercellulaires et cellule-pathogène.
Elle est utilisée pour le diagnostic différentiel des tumeurs myélo-monocytaires et histiocytaires, et possède une valeur diagnostique auxiliaire pour distinguer l’histiocytome fibreux malin d’autres sarcomes pléomorphes.
Il convient de noter que, l’anticorps CD68 reconnaissant un épitope résistant au formaldéhyde (probablement associé aux granules lysosomales), d’autres cellules riches en lysosomes peuvent également présenter une positivité.
Contrôle positif : Tissu hépatique
| RMA1A008 | 0.1ml, 0.5ml, 1ml | Concentré |
| RMA1A008 | 3ml, 6ml, 10ml | Ready to use |

