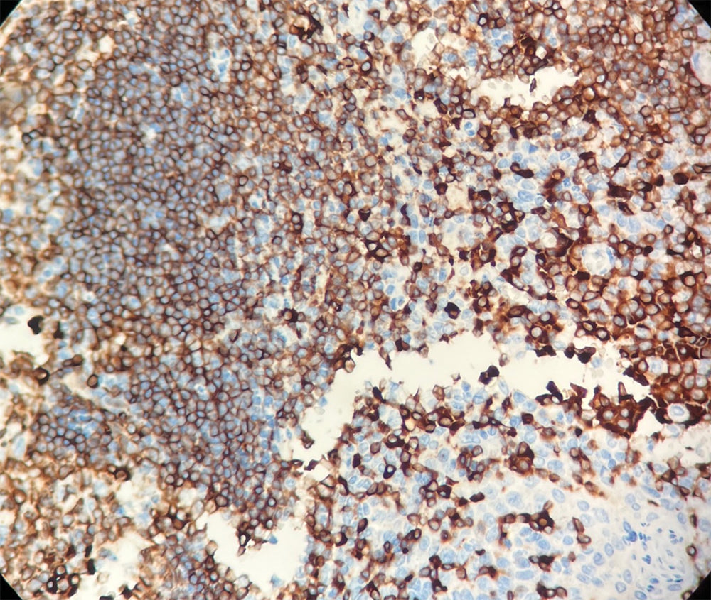
Cluster de différenciation 79a
Hôte : lapin
Localisation : Membrane cellulaire
Récupération antigénique : EDTA
Description :
CD79a est un marqueur pan-B, spécifiquement exprimé sur les cellules B, dès le stade pré-B et persistant jusqu’au stade plasmocytaire (où il est présent sous forme intracellulaire).
CD79a est détecté dans la majorité des leucémies aiguës lymphoblastiques B, des cellules de la lignée B, des lymphomes B et de certains myélomes.
L’anticorps CD79a marque un spectre de lymphomes similaire à celui de CD20, tout en présentant une sensibilité supérieure dans les leucémies lymphoblastiques B précurseurs. Il montre également un taux de positivité plus élevé dans le myélome plasmocytaire et peut occasionnellement marquer certaines cellules endothéliales.
Il est à noter que CD79a est souvent positif dans la leucémie aiguë promyélocytaire (classification FAB-M3), mais rarement exprimé dans les autres leucémies myéloïdes.
Contrôle positif : Tissu amygdalien
| RMA1A061 | 3ml, 6ml, 10ml | Ready to use |

