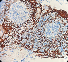
Cytokératine 5 & 6
Hôte : lapin
Localisation : Cytoplasme
Récupération de l’épitope par EDTA
Introduction :
CK5/6 est une kératine basique de haut poids moléculaire. Elle est spécifiquement exprimée dans les cellules basales des épithéliums stratifiés, l’épithélium transitionnel, les cellules mésothéliales et l’épithélium squameux hyperplasique (CK6 est souvent co-exprimée avec CK16).
L’anticorps montre un taux de positivité proche de 100 % dans le mésothéliome malin (en contraste marqué avec l’adénocarcinome pulmonaire), tout en présentant une forte spécificité pour les carcinomes indifférenciés à grandes cellules et les carcinomes épidermoïdes. Son taux de positivité est inférieur à 10 % dans les cancers du sein, du côlon et de la prostate.
Ses valeurs diagnostiques spécifiques incluent :
① Un marqueur clé pour différencier le mésothéliome de l’adénocarcinome pulmonaire ;
② Une aide au diagnostic des tumeurs d’origine épidermoïde ;
③ Un marqueur myoépithélial en pathologie prostatique permettant d’identifier les lésions malignes.
L’utilisation combinée de l’anticorps CK5/6 avec TTF-1/napsine A améliore significativement la précision de la classification des sous-types de cancers pulmonaires.
Contrôle positif : Tissu œsophagien
| RMB1A014 | 3ml, 6ml, 10ml | Ready to use |

