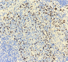
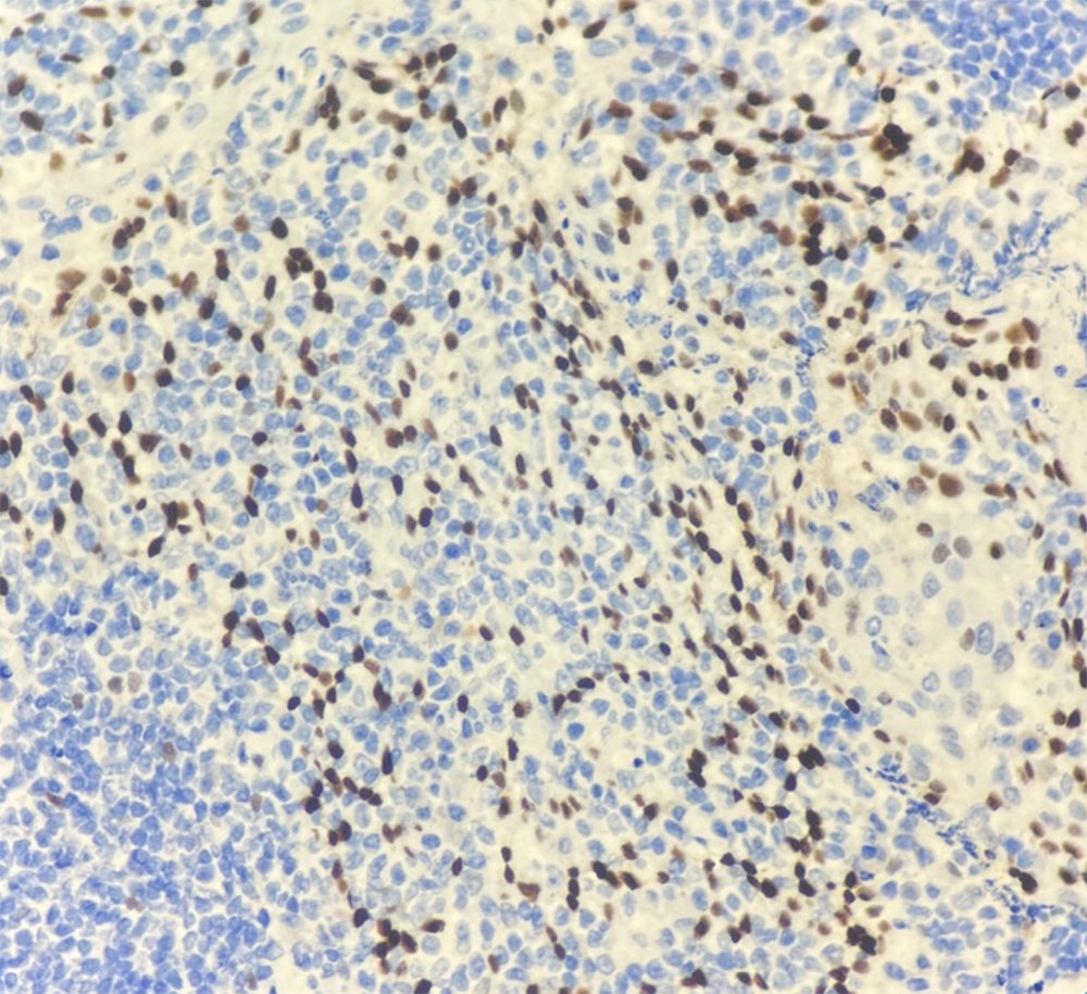
Protéine tumorale p63
Hôte : lapin
Localisation : Noyau
Récupération antigénique : EDTA
Description :
p63 est un membre de la famille des protéines p53, présentant de fortes similitudes structurelles et fonctionnelles avec p53, et jouant un rôle majeur dans la régulation du développement et de la différenciation épithéliale.
Il est spécifiquement exprimé dans les cellules basales des épithéliums malpighiens et urothéliaux, ainsi que dans les cellules myoépithéliales de la prostate et du sein.
p63 possède une valeur diagnostique importante pour différencier les lésions prostatiques et mammaires bénignes des lésions malignes, distinguer l’adénocarcinome pulmonaire du carcinome épidermoïde, et évaluer le caractère invasif ou non invasif des carcinomes mammaires et prostatiques.
Contrôle positif : Tissu de carcinome cervical
Informations commande :
| RMA1A026 | 0.1ml, 0.5ml, 1ml | Concentré |
| RMA1A026 | 3ml, 6ml, 10ml | Ready to use |

