Postmeiotic Segregation Increased 2
Hôte : lapin
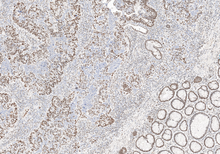
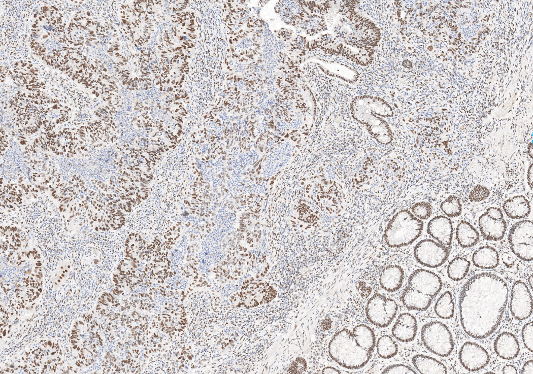
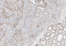
Localisation : Noyau
Récupération de l’épitope par EDTA
Introduction :
PMS2 est une protéine clé du système de réparation des mésappariements, formant un complexe avec MLH1, MSH2 et MSH6.
Les mutations de PMS2 conduisent à l’instabilité microsatellitaire (MSI) et augmentent le risque de cancers HNPCC et endométriaux.
L’anticorps PMS2 permet de détecter la perte d’expression de cette protéine, identifiant efficacement les tumeurs MSI et contribuant au dépistage du syndrome de Lynch et à l’évaluation du pronostic.
Contrôle positif : Tissu colorectal microsatellite-stable
| RMB1A080 | 0.1ml, 0.5ml, 1ml | Concentré |
| RMB1A080 | 3ml, 6ml, 10ml | Ready to use |

